
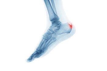
Heel spurs are brought upon by a calcium deposit that causes a bony protrusion on the underside of the heel bone. It normally forms over time and can best be diagnosed through an x-ray examination. Heel spurs are commonly linked with plantar fasciitis, an inflammation that runs along the bottom of the foot. Common symptoms of heel spurs include pain towards the affected area, inflammation, and swelling at the front of the heel.
There are different causes that may lead to a heel spur including poorly fitted shoes, excess weight or obesity, repetitive stress from running or jogging on hard surfaces, and arthritis. Treating a heel spur often requires a lifestyle change as well as getting plenty of rest. Using cold compresses is another method to help alleviate the discomfort of a heel spur. To prevent further damage, it may be useful to look into wearing shoe inserts or custom orthotics.
Practicing different exercises can help reduce the pain of heel spurs as well decrease inflammation you may be experiencing. Some of these helpful exercises include calf stretches performed either against a wall or on steps, foot rolls with a golf or tennis ball, seated foot flexes, and towel grabs with your toes. Heel spur prevention can start by understanding the everyday stresses put on your feet and knowing when to let your feet rest. It’s also important to not let heel pain go uncared for. Once you notice something is off, take action instead of waiting to see if it goes away.
If you’d like more information about heel spurs, consult with a podiatrist who can provide you with a proper diagnosis and professional care.
