Tuesday, 21 January 2025 00:00

Foot Orthotics

Orthotics are shoe inserts that are meant to correct an irregular walking gait or provide cushioning to the feet.  Orthotics come in a variety of different models and sizes, including over-the-counter and customizable variants. Customizable orthotics can be shaped and contoured to fit inside a specific shoe and are typically prescribed through a podiatrist who specializes in customized footwear and orthotics design and management.

Orthotics are beneficial because they can help prevent injuries from occurring and provide cushioning to keep pain levels down to a minimum. They also allow for the correct positioning of the feet. Orthotics can act as shock absorbers to help remove pressure from the foot and ankle. Therefore, orthotics can make bodily movements, such as walking and running, become more comfortable as well as help prevent the development of certain foot conditions.

Orthotics alleviate pain and make the foot more comfortable by slightly altering the angle at which the foot strikes the ground surface, therefore controlling the movement of the foot and ankle. Orthotics come in different variants and can be made of various materials. To determine what type of orthotic is most suited to your feet and your needs, it is best to consult your podiatrist. He or she will be able to recommend a type of orthotic that can help improve your foot function or prescribe a custom orthotic to best fit your feet.  

Thursday, 16 January 2025 00:00

Custom Orthotics For Outdoor Activity

Embrace the great outdoors with confidence and comfort! Whether you're hiking, jogging, or exploring nature, Custom Orthotics are your perfect companion. Tailored to your foot's unique needs, they provide stability on uneven terrains and cushioning for those longer adventures. Don't let foot discomfort limit your outdoor experiences. With Custom Orthotics, every step is supported and secure. Call today to schedule an appointment.

Tuesday, 14 January 2025 00:00

Painful Flat Feet

Flat feet, sometimes called fallen arches, occur when the arches of the feet collapse, causing the entire sole to touch the ground. This condition can lead to pain in the midfoot, especially after standing or walking for long periods. Other symptoms include swelling, foot fatigue, and even pain in the lower legs, knees, or lower back, as flat feet can affect your posture and gait. A variety of factors, including genetics, injury, obesity, or conditions like arthritis can cause flat feet. Over time, the lack of proper arch support can lead to increased strain on the muscles and joints in the feet. Treatment options for flat feet often include custom orthotics, which provide better arch support, stretches, strengthening exercises, and proper footwear. In some cases, surgical intervention may be necessary. A podiatrist can evaluate your condition and recommend the best treatment plan. If you are experiencing foot pain, it is suggested that you make an appointment with a podiatrist.

Flatfoot is a condition many people suffer from. If you have flat feet, contact one of our podiatrists from BayCity Associates in Podiatry . Our doctors will treat your foot and ankle needs.

What Are Flat Feet?

Flatfoot is a condition in which the arch of the foot is depressed and the sole of the foot is almost completely in contact with the ground. About 20-30% of the population generally has flat feet because their arches never formed during growth.

Conditions & Problems:

Having flat feet makes it difficult to run or walk because of the stress placed on the ankles.

Alignment – The general alignment of your legs can be disrupted, because the ankles move inward which can cause major discomfort.

Knees – If you have complications with your knees, flat feet can be a contributor to arthritis in that area.  

Symptoms

  • Pain around the heel or arch area
  • Trouble standing on the tip toe
  • Swelling around the inside of the ankle
  • Flat look to one or both feet
  • Having your shoes feel uneven when worn

Treatment

If you are experiencing pain and stress on the foot you may weaken the posterior tibial tendon, which runs around the inside of the ankle. 

If you have any questions, please feel free to contact our offices located in Erie, PA and Meadville, PA . We offer the newest diagnostic and treatment technologies for all your foot care needs.

Read more about Flat Feet
Tuesday, 14 January 2025 00:00

Flat Feet

Flatfoot is a foot condition in which the arch of the foot has either partially or totally dropped or has never developed. While it is common in babies and small children, it can become a problem for them in adulthood if the arch never forms. For adults, the development of flat feet can be brought upon by injury, as a result of pregnancy due to increased elasticity, or obesity. Those who have health concerns such as rheumatoid arthritis or diabetes may also be at greater risk for developing the condition.

If you suspect that you have flat feet, it is best to consult your podiatrist. Your foot doctor will examine the suspected foot and observe how it looks while you sit and stand. He or she may take an X-ray to determine how serious the condition is. Some common signs of flatfoot include toe drift, in which the toes and front part of the foot point outward, a short Achilles tendon, and a heel that tilts outwardly while the ankle tilts inward.

Once flatfoot has been diagnosed, your podiatrist may suggest one of several treatment options. Flat feet can be rigid, in which the feet appear to have no arch even when the person is not standing; or flexible, in which the person appears to have an arch while not standing, but once standing the arch disappears. Those with flexible flatfoot may be told to reduce any activities that cause pain and to avoid extended periods of walking or standing. Another suggestion may be weight loss, as excessive weight may be placing pressure on the arches

In few cases, if the condition is severe and all other methods have been exhausted surgery may be required. This is normally avoided, however, due to a lengthy recovery time and high cost.

For runners, orthotics can be a game-changer in improving performance and preventing injury. Custom foot orthotics are designed to provide support, stability, and alignment, helping runners maintain proper posture and biomechanics. By correcting issues such as overpronation or improper foot arch, orthotics reduce the risk of stress on joints and muscles, ultimately lowering injury rates. Additionally, they provide enhanced cushioning, which can improve comfort during long runs by absorbing shock and reducing impact. With better alignment and reduced fatigue, runners may experience improved speed and endurance, as their bodies can work more efficiently. Orthotics also help in preventing common running injuries, such as shin splints, plantar fasciitis, and tendinitis, by reducing strain on key areas. Overall, incorporating orthotics into a running routine can lead to a more comfortable, faster, and safer experience. If you have endured a foot or ankle injury while running, it is suggested that you consult a podiatrist who can treat various foot conditions, and discuss how orthotics can help to prevent running injuries.

Custom orthotics are specialized shoe inserts created to support and align the feet according to each person’s unique structure and walking pattern. They are an effective way to relieve foot discomfort caused by conditions such as flat feet, high arches, plantar fasciitis, bunions, and heel pain. When the natural alignment of the foot is off balance, it can lead to pressure points, strain, and pain that affect how a person stands, walks, and moves. Orthotics work by redistributing weight evenly and supporting the arch to reduce stress on the muscles, tendons, and joints of the feet and lower legs.

Foot discomfort can develop for many reasons, including wearing improper footwear, long hours of standing, repetitive motion, or underlying structural problems. Over time, this discomfort can extend beyond the feet, contributing to knee, hip, or lower back pain. Custom orthotics help correct these issues by improving alignment and promoting more efficient movement. They are made using precise measurements and imaging to ensure the best fit for each patient, providing targeted support and cushioning where it is needed most.

Unlike generic insoles, custom orthotics are durable, medically designed, and tailored to your specific needs. Whether you are managing chronic pain, recovering from an injury, or simply seeking better comfort and stability, orthotics can make a noticeable difference in how your feet feel throughout the day.

If you are experiencing persistent foot discomfort or fatigue, it may be time to have your feet evaluated by a podiatrist. Call our office today for more information or to schedule an appointment.

If you have any questions, please feel free to contact our offices located in Erie, PA and Meadville, PA

Read more about Investing in Custom Orthotics Means Investing in Foot Health

Custom orthotics offer a tailored approach to foot health, providing a host of benefits that extend far beyond conventional shoe inserts. One of the primary advantages lies in their ability to address specific biomechanical issues. Unlike off-the-shelf inserts, custom orthotics are crafted based on an individual's unique foot structure, gait, and any existing foot conditions.

The personalized design of custom orthotics ensures optimal support for the arches, promoting proper alignment and distributing pressure evenly across the feet. This can be particularly beneficial for individuals dealing with issues such as overpronation or underpronation, as custom orthotics help correct imbalances that may lead to discomfort or injury.

Beyond biomechanics, custom orthotics can alleviate a range of foot problems, including plantar fasciitis, bunions, and metatarsalgia. They provide targeted relief to areas under stress, reducing pain and inflammation. Additionally, for those with specific medical conditions like diabetes, custom orthotics can play a crucial role in preventing complications associated with poor foot health.

Comfort is another key aspect of custom orthotics. By accommodating the unique contours of an individual's feet, these inserts enhance overall comfort, making daily activities more enjoyable. Whether for athletes looking to optimize performance or individuals seeking relief from chronic foot pain, custom orthotics offer a versatile solution.

Investing in custom orthotics is an investment in long-term foot health. They not only provide immediate relief but also contribute to the prevention of future issues. With the ability to seamlessly integrate into various types of footwear, custom orthotics empower individuals to prioritize foot comfort without compromising on style. In essence, custom orthotics are a personalized prescription for happy, healthy, and pain-free feet.


 

Foot and ankle injuries are common among skateboarders due to the high-impact and dynamic movements involved in the sport. One major cause of injury is inversion sprains, where the foot rolls outward, and eversion sprains, where the foot rolls inward. These sprains can vary in severity, ranging from grade 1, which involves mild stretching of ligaments, to grade 2, where ligaments are partially torn, and grade 3, which involves a complete ligament rupture. In addition to sprains, overuse injuries can occur from repetitive motions, such as pushing off or landing incorrectly, leading to stress fractures or tendinitis. Skateboarders may also suffer from ankle instability, which can increase the likelihood of sprains. If you enjoy skateboarding and have endured an injury, it is suggested that you contact a podiatrist who can offer effective treatment solutions and injury prevention tips.

Sports related foot and ankle injuries require proper treatment before players can go back to their regular routines. For more information, contact one of our podiatrists of BayCity Associates in Podiatry . Our doctors can provide the care you need to keep you pain-free and on your feet.

Sports Related Foot and Ankle Injuries

Foot and ankle injuries are a common occurrence when it comes to athletes of any sport. While many athletes dismiss the initial aches and pains, the truth is that ignoring potential foot and ankle injuries can lead to serious problems. As athletes continue to place pressure and strain the area further, a mild injury can turn into something as serious as a rupture and may lead to a permanent disability. There are many factors that contribute to sports related foot and ankle injuries, which include failure to warm up properly, not providing support or wearing bad footwear. Common injuries and conditions athletes face, including:

  • Plantar Fasciitis
  • Achilles Tendinitis
  • Achilles Tendon Rupture
  • Ankle Sprains

Sports related injuries are commonly treated using the RICE method. This includes rest, applying ice to the injured area, compression and elevating the ankle. More serious sprains and injuries may require surgery, which could include arthroscopic and reconstructive surgery. Rehabilitation and therapy may also be required in order to get any recovering athlete to become fully functional again. Any unusual aches and pains an athlete sustains must be evaluated by a licensed, reputable medical professional.

If you have any questions please contact our offices located in Erie, PA and Meadville, PA . We offer the newest diagnostic and treatment technologies for all your foot and ankle needs.

Read more about Sports Related Foot And Ankle Injuries
Tuesday, 07 January 2025 00:00

Sports Related Foot And Ankle Injuries

Foot and ankle injuries are common among people who participate in sports. Several factors contribute to this. They include failing to stretch or warm up properly, not wearing the proper type of shoe and not taping or providing other types of support for the ankle or foot. The most common foot and ankle injuries suffered by people involved in sports are plantar fasciitis, ankle sprains and Achilles tendon damage or ruptures. If not treated properly, they can lead to permanent disability.

Treating these injuries is relatively simple if they are identified and addressed early. Many athletes dismiss the initial aches and pains associated with injury as just soreness or tired muscles. Their first response is usually to try to work through it. This can lead to serious problems. Many minor injuries are made far more serious when athletes continue to put strain and pressure on them. That attitude can change a mild strain into a serious strain and a minor tear into a rupture. Athletes should have unusual aches and pains evaluated by a skilled medical professional.

Plantar fasciitis is a painful injury. It is inflammation of the plantar fascia, the thick band of tissue running from the heel to the base of the toes. If left untreated, it can lead to a degenerative disease called plantar fasciosis. There are several effective treatments for this ailment. Doctors often prescribe rest, massages, stretching, night splints, physical therapy, anti-inflammatory medication, corticosteroids or surgery, usually in that order. The most effective treatment for plantar fasciitis is orthotics, which offers foot support. Surgery is occasionally used as a last resort, but it comes with the risk of nerve damage and infection and often does not stop the pain.

The Achilles tendon is the largest tendon in the body. It connects the calf muscles to the heel bone. Running, jumping and walking all impact this tendon. Two common injuries to the Achilles tendon are tendonitis and a rupture of the tendon. Tendonitis is inflammation in the tendon often caused by an increase in the amount of stress placed on it. Non-surgical treatments include rest, ice or anti-inflammatory medication.  A rupture (tear) of the Achilles tendon can be treated by placing the lower leg in a cast for several weeks or with surgery. Many physicians feel surgery is the better option because it lowers the risk of re-ruptures. Both methods require 4 to 6 months of rehabilitation.

Ankle sprains are the most common sports related foot and ankle injury. A sprain occurs when the ligament holding the ankle bones and joint stretches beyond its normal range. It can be treated non-surgically with a combination of rest, ice wrapped around the joint for 30 minutes immediately after injury, compression by a bandage and elevating the ankle above the heart for 48 hours. This combination is referred to as RICE. Severe ankle sprains in which the ligaments are torn may require reconstructive surgery followed by rehabilitation.

Tuesday, 31 December 2024 00:00

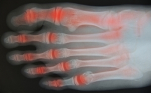
Causes and Relief From Toe Arthritis

Toe arthritis is a condition where the joints in the toes become inflamed, causing pain and stiffness. The most common cause is osteoarthritis, which occurs as the cartilage in the toe joints wears down over time, often due to age or repetitive stress. Other causes include rheumatoid arthritis or injury to the toe. Symptoms of toe arthritis include pain in the affected joint, particularly during movement, swelling, and a reduced range of motion. In some cases, the joint may become deformed or misaligned. Relief from toe arthritis involves wearing proper footwear that provides support and cushioning, as well as anti-inflammatory medications to reduce pain and swelling. Specific exercises can also help improve joint flexibility and strength. In severe cases, surgical options may be considered to restore function and alleviate pain. If you have symptoms of arthritis in your toes, it is suggested that you consult a podiatrist who can offer you effective relief and management tips.

Arthritis can be a difficult condition to live with. If you are seeking treatment, contact one of our podiatrists from BayCity Associates in Podiatry . Our doctors can provide the care you need to keep you pain-free and on your feet.

Arthritic Foot Care  

Arthritis is a joint disorder that involves the inflammation of different joints in your body, such as those in your feet. Arthritis is often caused by a degenerative joint disease and causes mild to severe pain in all affected areas. In addition to this, swelling and stiffness in the affected joints can also be a common symptom of arthritis.

In many cases, wearing ill-fitting shoes can worsen the effects and pain of arthritis. Wearing shoes that have a lower heel and extra room can help your feet feel more comfortable. In cases of rheumatoid arthritis, the arch in your foot may become problematic. Buying shoes with proper arch support that contour to your feet can help immensely.

Alleviating Arthritic Pain

  • Exercises that stretch the foot can prevent further pain and injury and increase mobility
  • Most of the pain can be alleviated with anti-inflammatory drugs, heat, and topical medications
  • Massages can help temporarily alleviate pain.

It is best to see your doctor for the treatment that is right for your needs and symptoms. Conditions vary, and a podiatrist can help you determine the right method of care for your feet.

If you have any questions please feel free to contact our offices located in Erie, PA and Meadville, PA . We offer the newest diagnostic tools and technology to treat your foot and ankle needs.

Read more about Arthritic Foot Care
Tuesday, 31 December 2024 00:00

Arthritic Foot Care

During your lifetime, you will probably walk about 75,000 miles, which is quite a lot of stress to put on your feet. As you get older, the 26 bones and 30 joints in each of your feet will lose flexibility and elasticity. Your foot’s natural shock absorbers will wear down as well. Having arthritis added to this mix only makes matters worse. Your joints will become distorted and inflamed, which is why arthritic foot care needs to be something to think about every day.

When dealing with arthritis, having additional foot complications, such as bunions, hammertoes, or neuroma, can be a serious detriment. To avoid these, buy well-fitting shoes with a lower heel and good support. Arthritis causes you to lose your arch, so having shoes with good arch support is also highly recommended.

Aside from getting good arch support, the shoes need to fit comfortably and properly as well. A good place to start is by leaving a finger width between the back of the shoe and your foot to gauge proper size. It is also helpful to have a square or rounded toe box in the front to provide even more comfort. Another thing to look for is a rubber sole that can provide a cushion and absorb shock as you walk. This adds flexibility to the ball of your foot when you push off your heel to walk.

Exercise is another key aspect of arthritic foot care. Exercise not only strengthens and stretches your muscles and joints, but helps to prevent further injury and pain as well. Stretching the Achilles tendon, the tendon located in the back of your heel, will give you added mobility and reduce pain due to stress. Another thing you can do is massage your feet, kneading the ball of your foot as well as your toes from top to bottom.

Stretching the Achilles tendon is a simple exercise that you can do at home anytime. Lean against the wall with your palms flat against the surface while placing one foot forward, towards the wall, and one foot behind you. Bend your forward knee towards the wall while keeping your back knee locked straight, and make sure both your heels are completely touching the ground at all times. This will stretch your Achilles tendon and calf muscles as well. You will feel the stretch almost immediately. You can also stretch your toes in a couple ways. One involves taking a rubber band and wrapping it around both your big toes while your heels remain together. Then, pull them apart to stretch your big toe. You can also place a rubber band around all the toes of one of your feet. Then, try to separate each individual toe, stretching them all.

A final step you can take to help your arthritis is taking non-steroid, non-inflammatory drugs or topical medicines with capsaicin. Unfortunately, there is no complete way to remove all of your arthritic pain. However, following some of this advice can go a long way in staying as pain-free as possible.

Page 13 of 17
scroll to top