Items filtered by date: October 2025
When Cracked Heels Need Professional Treatment
There are several reasons why cracked heels occur. You may be walking around barefoot too much, standing on hard surfaces for extended amounts of time, or wearing open-back shoes or flip flops that can allow fat pads under the heel to spread out sideways and increase the chances of cracks developing. Certain medical conditions such as arthritis, diabetes, psoriasis, athlete’s foot, or even obesity can increase your risk of developing cracked heels as well. Nutritional deficiencies, exposure to certain harsh chemicals or detergents, and dry skin due to aging can all pave the way for cracked heels. Most mild cracked heels are often just a minor annoyance and can be treated with proper foot care. Left untreated, however, they may deepen, bleed, become painful or even infected—which is particularly dangerous for those with compromised immune systems or diabetes. If you are struggling to heal your cracked heels, or they are severely cracked, it is suggested you contact a podiatrist for proper treatment.
Cracked heels are unsightly and can cause further damage to your shoes and feet. If you have any concerns, contact one of our podiatrists from BayCity Associates in Podiatry . Our doctors can provide the care you need to keep you pain-free and on your feet.
Cracked Heels
Cracked heels appear unappealing and can make it harder for you walk around in sandals. Aside from looking unpleasant, cracked heels can also tear stockings, socks, and wear out your shoes. There are several methods to help restore a cracked heel and prevent further damage.
How Do You Get Them?
Dry skin is the number one culprit in creating cracked heels. Many athletes, walkers, joggers, and even swimmers suffer from cracked heels. Age and skin oil production play a role to getting cracked heels as well.
Promote Healing
Over the counter medicines can help, especially for those that need instant relief or who suffer from chronic dry feet.
Wear Socks – Wearing socks with medicated creams helps lock in moisture.
Moisturizers – Applying both day and night will help alleviate dryness which causes cracking.
Pumice Stones – These exfoliate and remove dead skin, which allows for smoother moisturizer application and better absorption into the skin.
Change in Diet
Eating healthy with a well-balanced diet will give the skin a fresh and radiant look. Your body responds to the kinds of food you ingest. Omega-3 fatty acids and zinc supplements can also revitalize skin tissue.
Most importantly, seek professional help if unsure how to proceed in treating cracked heels. A podiatrist will help you with any questions or information needed.
If you have any questions, please feel free to contact our offices located in Erie, PA and Meadville, PA . We offer the newest diagnostic and treatment technologies for all your foot care needs.
Obesity and Its Connection to Foot Pain

Excess body weight places added stress on the feet, which can lead to discomfort and reduced mobility. Research shows that carrying higher fat mass is strongly linked to foot pain, while overall body weight can negatively affect how the foot functions during walking and standing. With obesity rates rising across the globe, problems such as plantar heel pain, tendon strain, and joint stress in the feet are becoming more common. This makes awareness and early intervention especially important. Podiatrists play a key role not only in treating foot pain but also in addressing its contributing factors. By working with patients and collaborating with other health professionals, podiatrists can help manage both the mechanical strain on the feet and the broader health issues connected to weight. If you are experiencing foot pain related to weight, it is suggested that you consult a podiatrist for evaluation and care.
Obesity has become very problematic at this point in time and can have extremely negative effects on the feet. If you’re an obese individual and are concerned about your feet, contact one of our podiatrists from BayCity Associates in Podiatry . Our doctors can provide the care you need to keep you pain-free and on your feet.
Obesity and Your Feet
Since your feet are what support your entire weight when standing, any additional weight can result in pain and swelling. Being overweight is one of the main contributors to foot complications.
Problems & Complications
Extra Weight – Even putting on just a few extra pounds could create serious complications for your feet. As your weight increases, your balance and body will shift, creating new stresses on your feet. This uneven weight distribution can cause pain, even while doing the simplest tasks, such as walking.
Diabetes – People who are overweight are at serious risk of developing type-2 diabetes, which has a drastic impact on the health of your feet. As you get older, your diabetes might worsen, which could lead to loss of feeling in your feet, sores, and bruises. You could also become more prone to various infections.
Plantar fasciitis – Pressure and stress that is placed on muscles, joints, and tendons can trigger plantar fasciitis, which is an inflammation of tissue that forms along the bottom of the foot.
If you have any questions, please feel free to contact our offices located in Erie, PA and Meadville, PA . We offer the newest diagnostic and treatment technologies for all your foot care needs.
When Babies Need Shoes and How to Choose the Right Pair

Babies do not need shoes until they begin walking outside, as barefoot play helps strengthen muscles and improve balance. When it is time for their first pair, choose shoes with a wide toe box to allow natural movement, a flexible sole with grip for stability, and adjustability to encourage independence. A semi flexible heel cup provides gentle support, while a slight toe raise helps with forward motion. A podiatrist can guide parents in selecting the best shoes for healthy foot development and check for any early concerns. If your baby is ready for their first shoes, it is suggested that you schedule a visit with a podiatrist to ensure comfort, protection, and healthy growth for tiny feet.
Making sure that your children maintain good foot health is very important as they grow. If you have any questions, contact one of our podiatrists of BayCity Associates in Podiatry . Our doctors can provide the care you need to keep you pain-free and on your feet.
Keeping Children's Feet Healthy
Having healthy feet during childhood can help prevent medical problems later in life, namely in the back and legs. As children grow, their feet require different types of care. Here are some things to consider...
Although babies do not walk yet, it is still very important to take care of their feet.
Avoid putting tight shoes or socks on his or her feet.
Allow the baby to stretch and kick his or her feet to feel comfortable.
As a toddler, kids are now on the move and begin to develop differently. At this age, toddlers are getting a feel for walking, so don’t be alarmed if your toddler is unsteady or ‘walks funny’.
As your child gets older, it is important to teach them how to take care of their feet.
Show them proper hygiene to prevent infections such as fungus.
Be watchful for any pain or injury.
Have all injuries checked by a doctor as soon as possible.
Comfortable, protective shoes should always be worn, especially at play.
If you have any questions, please feel free to contact our offices located in Erie, PA and Meadville, PA . We offer the newest diagnostic and treatment technologies for all your foot care needs.
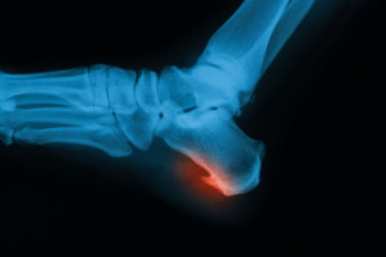
Heel Spurs and Their Classifications

A heel spur is a bony growth that forms on the heel bone, often linked to physical stress, inflammation, or plantar fasciitis. Heel spurs can be classified into four types, including absent, indicating no visible spur. Horizontal spurs grow straight across the heel, vertical spurs point upward, while hooked spurs curve toward surrounding tissues, often causing more discomfort. Symptoms include heel pain, tenderness, and swelling, especially during walking or standing. Causes include repetitive strain, poor footwear, obesity, and high impact activities. A podiatrist can diagnose the type of heel spur, provide targeted treatments, and recommend supportive footwear or orthotics. If you have heel pain, it is suggested that you consult a podiatrist who can provide an accurate diagnosis and treatment.
Heel spurs can be incredibly painful and sometimes may make you unable to participate in physical activities. To get medical care for your heel spurs, contact one of our podiatrists from BayCity Associates in Podiatry . Our doctors will do everything possible to treat your condition.
Heels Spurs
Heel spurs are formed by calcium deposits on the back of the foot where the heel is. This can also be caused by small fragments of bone breaking off one section of the foot, attaching onto the back of the foot. Heel spurs can also be bone growth on the back of the foot and may grow in the direction of the arch of the foot.
Older individuals usually suffer from heel spurs and pain sometimes intensifies with age. One of the main condition's spurs are related to is plantar fasciitis.
Pain
The pain associated with spurs is often because of weight placed on the feet. When someone is walking, their entire weight is concentrated on the feet. Bone spurs then have the tendency to affect other bones and tissues around the foot. As the pain continues, the feet will become tender and sensitive over time.
Treatments
There are many ways to treat heel spurs. If one is suffering from heel spurs in conjunction with pain, there are several methods for healing. Medication, surgery, and herbal care are some options.
If you have any questions, please feel free to contact our offices located in Erie, PA and Meadville, PA . We offer the newest diagnostic and treatment technologies for all your foot care needs.


